
近日,江苏省抗击新冠肺炎疫情表彰大会隆重举办,镇江市口腔医院种植修复科副主任杨斌同志荣获:“江苏省抗击新冠疫情先进个人”荣誉称号!
杨斌
现任镇江市口腔医院种植修复科科室副主任,自疫情爆发以来,杨斌同志积极主动报名参加市抗疫指挥部组织的市区高速出口、高铁出口卫生检疫项目大年初三即奔赴抗疫一线,先后奔赴镇江市火车站、长途客运站、高速出入口等各交通卡口开展体温检测工作,共参加20余次,并积极报名参加各类抗疫志愿工作,如市卫健委组织的赴昆山专班、医院门急诊排班等。作为市级重点专科种植修复科副主任,按照疫情防控常态化要求,积极推进科室防控工作,按照上级的统一部署,制订科室开诊方案,防控流程。克服疫情影响,持续推动科室建设,积极推动新技术新项目的开展,不断提高医疗质量。积极推进对口支援工作,9月奔赴新疆生产建设兵团四师医院,现场开展该院第一例种植体植入术,并为当地口腔医务人员开展了学术讲座。
在二十余年的医疗工作中,杨斌同志勤奋好学,踏实肯干,认真学习各项口腔医疗技术操作,综合素质得到了全面提高。他始终坚持“以病人为中心”的服务理念,努力做到以精湛的技术,饱满的工作情绪,高度的责任心为病人提供优质的服务,他一直洁身自好,廉洁行医,并将“八荣八耻”、卫生部“九不准”、医院“十要十不准”等规章条例落实到具体的工作中。因工作成绩显著,多次被评为医院年终考核优秀,2004年获共青团卫生系统“十佳青年标兵”,2004年光荣成为造血干细胞志愿捐献者。2005年获共青团镇江市委员会表彰“岗位争优开门红”立功竞赛“青年科技明星”称号。2016年获镇江市第三届“十大医德标兵”称号。2017,2018年市级卫健系统优秀共产党员。

种植修复科副主任
副主任医师
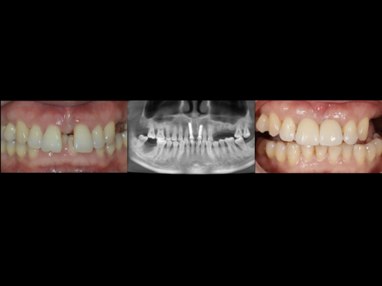
专注数字化微创种植牙技术,复杂种植手术,CEREC数字化修复,牙列严重磨耗咬合重建,前牙微笑美学设计瓷贴面修复
个人病例展示

前牙美学区种植修复

外伤冠折患者的种植修复