早期矫治

早期矫治新技术:隐形早期矫治
矫治器特点:
可根据不同时期牙颌、以及不同错颌畸形设计个性化系列矫治器,一般建议矫治开始于混合牙列早期,通常6-10岁。
早期隐形矫治器使用适合青少年口腔的独特附件、替牙期萌出帽等,精确设计和引导牙齿萌出、移动,控制牙弓长度、宽度,阻断畸形发展,引导牙、颌、面整体正常发育。
01
隐形矫治的优势:

1、摘戴方便,口腔卫生易保持
2、正常饮食不受影响
3、矫正方案可视化
4、复诊预约效率高,可同时进行扩弓,排齐牙齿,磨牙远移,颌骨矫形治疗,肌功能训练等,矫治疗程短
02
早期隐形矫治适用于:

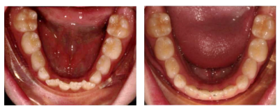
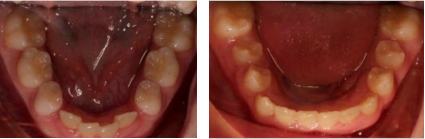
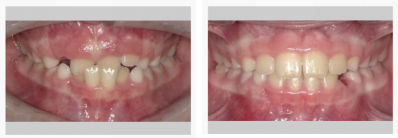
1、牙弓发育问题→可预测扩弓,尤其是传统矫治器难以完成的下颌扩弓

2、替牙期间隙管理→支持恒牙萌出:精确预留空间,使牙齿萌出到矫治器预留空间中

3、解除前牙、后牙反颌
4、牙齿萌出异常
5、深覆颌/深覆盖(深咬合/牙突)

6、不良口腔习惯(吮指、吐舌
03
孩子和家长如何配合

早期矫治器对孩子依从性要求较高,尤其是隐形矫治,没有按时按要求佩戴以及定时更换矫治器,会出现矫正效果不理想、矫正时间延长等问题。
那么孩子和家长应该如何配合早期矫治?
1.早期矫正一般是孩子整个正畸过程的第一期,在患牙后大多数都需要二期矫正,因此整体的疗程较长,期间更是需要定期复诊,孩子和家长必须要有充分的思想准备,不能急于求成,也应避免半途而废。
2.孩子初戴上矫治器后,会有轻度疼痛、酸胀等不舒服的感觉,对矫治器也不适应,这是正常现象,需要一段时间的适应过程,家长不必紧张。
3.矫正期间口腔卫生不良容易导致龋齿、牙龈炎等,家长必须监督孩子坚持完成早晚和饭后认真刷牙。
近年来越来越多的家长意识到儿童口腔健康及牙齿咬合对于功能、颜面以及心理健康的重要性。
但也需要注意,错颌畸形的矫治并不都是越早越好,如果家长朋友们发现孩子可能存在以上常见的问题,也不必太过担心,只需尽快带孩子去找到医生进行专业评估,决定是否需要诊疗即可。